矯正歯科
歯並びを治して心身の健康を取り戻しましょう
歯並びが悪ければ、かみ合わせも悪いので、全身の健康に大きな影響を与えます。 それは肉体的なものばかりでなく、精神的にも大きな負担となります。
豊かな顔の表情を大切にする欧米では、健康的で整った美しい歯並びが常識になっています。
一昔前の日本では、八重歯をチャームポイントとする人を多く見かけましたが、最近では、歯並びに対する日本人の考え方も、審美から健康の獲得へと変化してきています。
歯並びを治す矯正歯科は、病気を治すのと同じように歯の正常な咀嚼機能を取り戻し、健康な身体と心をつくるための歯科治療なのです。 そして治療がすめば、健全な咀嚼器官と共に健康美あふれる笑顔も手に入れることができます。
矯正歯科について
矯正歯科はなぜ必要?

欧米では歯並びの悪い人は社会的にもそれなりの人と判断されるため、美しい歯並びは常識となっています。
歯並びを治す矯正治療は、病気を治すのと同じように歯の正常な咀嚼機能を取り戻し、健康な身体と心を作るための治療なのです。そして、治療後には健全な咀嚼機能とともに自信にあふれた健康的な笑顔を手に入れることができるのです。
不正咬合とは?
悪い歯並びを総称して不正咬合といい、心身に大きな影響を与えます。
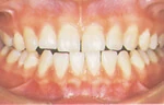
正常咬合になれば多くの問題が解決します。上下の歯が正しくかみ合い、歯の接触面積が広くなり、食べ物の消化・吸収が促進され、心身ともに健康な成長発育を示します。
不正咬合の種類
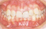
乱ぐい歯・八重歯(叢生)
あごが小さかったり、あごに対して歯の幅が大きい場合に起こります。
歯の生える場所が足りないので、凹凸に生えたり、重なり合って生えています。
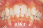
すき歯(空隙歯列弓)
あごが大きかったり、歯の幅が小さい場合に起こります。
歯の間が開いていて、歯列にすき間ができています。
出っ歯(上顎前突)
上の前歯や歯列全体が前に突き出ている状態をいいます。
受け口・反対咬合(下顎前突)
下の前歯が上の前歯より前にでています。
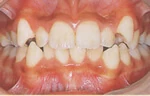
過蓋咬合
かみ合わせが深く、下の歯列が上の歯列に覆われて見えなくなっています。
切端咬合
上下の前歯が先端でかみ合う状態です。
開咬
あごを閉じてからかみ合わせても、上下の歯に隙間ができています。
治療の流れ
1. 初診相談(矯正治療の説明と相談)
歯石は歯磨きではとれません。
そこで、超音波の専門機械や手用器具を用いて歯に沈着した歯石を除去していきます。
2. 精密検査
問診や視診をしながら診察し、矯正治療の担当医と相談します。矯正治療を始める場合には、精密検査をします。
3. 矯正歯科診断
レントゲンや模型によりあごの大きさや歯並びの状態を検査し分析を行います。歯の写真・顔の写真・歯のレントゲン写真・頭部のレントゲン写真・歯列の模型など治療計画に必要な資料をとります。症状により、顎関節のレントゲン写真や顎運動の検査もします。
4. 治療開始の準備
口腔内の清掃をするとともに、正しい歯磨きの指導をします。矯正装置をつけていると、食べ物が付着しやすくなりますから、矯正中の歯ブラシ指導に従って歯磨きを行っていただきます。
5. 治療開始
矯正歯科治療は、動的治療と静的治療(保定)の二段階に分かれています。
(1)
治療計画に従い、いろいろな矯正装置を使って歯を動かし、段階的に治療を始めます。
(2)
上下の歯が計画どおりに動いて、次第に正常なかみ合わせになると最終段階で仕上げの治療をします。
(3)
動的な治療が完了すると矯正装置をはずし、保定に入ります
(4)
動かした歯を支えて保護するために保定装置を使います。その期間は通常2~3年ですが場合によっては成長が終了するまで必要になることがあります。
(5)
動かされた歯が完全に保定されると、静的治療も終わります。その後は定期検診として年に1、2回通院します。

